
Todos nuestros tratamientos tienen un protocolo simple y respetuoso, se basan en una simple cascada de resultados que llevan al objetivo deseado. Como primera medida, buscamos salud, luego devolver forma, tamaño, ubicación y color a las piezas dentarias con algo tan simple como mirar la naturaleza. De este modo, logramos un aspecto estético y armónico de la sonrisa.

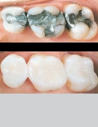
Los “Empastes Blancos” Se Componen De Resina, Un Material Sintético Que Endurece Tras La Aplicación De Una Luz Halógena. Los Avances Tecnológicos En El Mundo De La Odontología Han Progresado De Tal Forma Que, Hoy En Día, Es Posible Reconstruir Dientes Anteriores Y Empastar Molares Sin Que Nadie Note La Diferencia Con Un Diente Íntegro.
Gracias a los materiales y nuevas técnicas de las que se dispone en la actualidad, se pueden realizar de forma fiable (estética y funcionalmente) empastes y reconstrucciones inapreciables a la vista. Obviamente los dientes con mayores requerimientos estéticos son los dientes anteriores, ya que se aprecian al sonreír.
Gracias a los composites de última generación es posible reconstruir, enmascarar o disimular gran parte de los defectos dentarios producidos por caries, alteraciones del color, fracturas, dientes más cortos que otros, etc.